
陶瓷貼片是什麼?
這是一種能夠改善牙齒外觀的療程,經過醫師評估,會視狀況修磨前牙6至8顆,再貼上薄約0.3至0.5毫米的陶瓷材質牙齒貼片,重新打造自然的牙齒顏色、大小,塑造適合個人的理想微笑曲線。另外,市面上也有許多不同材質的牙齒貼片,效果不盡相同,也各有優缺點。
陶瓷貼片適合誰?可以改善哪些牙齒問題
單純想要有一口亮白美齒可以向醫生諮詢陶瓷貼片外,其實還有很多牙齒狀況也適用,像是一些牙齒的小瑕疵,包含牙縫、牙齒斷裂、牙齒染色等,甚至是輕微的齒列不整齊,都可以透過陶瓷貼片改善。
陶瓷貼片有哪些優點?
牙齒貼片有不同材質,其中陶瓷製成的貼片,因為安全性高,所以生物相容性佳,也就是陶瓷材料對牙齒、牙齦刺激低,術後不容易引起過敏或排斥反應,而且陶瓷還有不易染色、耐用等特性,也因為陶瓷材質透光性好,完成的貼片透光度、色澤都能接近自然牙齒,所以陶瓷貼片效果也更自然。
陶瓷貼片價格多少?
全台各地會因地區成本不同而有價格落差,像是南部房租人力相對會比北部低,不過北部也因為選擇多,價格也相對具有競爭力,以新北板橋陶瓷貼片價格來說,約落在每顆 $25,000至$35,000元之間,通常一次會需要做6到8顆,如果在施作陶瓷貼片前,牙齒本身有狀況需要先處理,像是根管治療等,這類費用則是額外另計。
在診間也很常遇到患者詢問,為何同樣是貼片,價格落差這麼大?其實以一般板橋牙齒貼片市場來說,先是貼片材質選擇,再來瓷牙貼片也會因為原料廠牌、種類,以及醫師技術、經驗口碑等因素影響價格。
陶瓷貼片、牙齒貼片、全瓷貼片一樣嗎?
陶瓷貼片、牙齒貼片、全瓷貼片雖然稱呼上不盡相同,但基本上指的都是同一種東西,就是陶瓷材料製成的薄型牙齒貼片,用來改善牙齒外觀、齒色等問題。
陶瓷貼片:最常見也平鋪直敘的用法,也就是使用陶瓷材料製成的牙齒貼片。
牙齒貼片:這是廣泛用法,包含所有材質貼片,陶瓷材質是其一、但也是最主要的種類。
全瓷貼片:一般陶瓷貼片就是採用全陶瓷打造,「全瓷」用法是為了更凸顯自然美觀特性,才特別強調貼片材質是全陶瓷。
樹脂貼片vs陶瓷貼片vs全瓷冠,我適合哪一種?
前面介紹了很多陶瓷貼片,其實坊間還有一種不少見、以樹脂材料製作的牙齒貼片,雖然價格相對陶瓷貼片來說親民許多,約落在每顆$3,000至$5,000元不等,但因樹脂大多適用於臨時、短期性的牙齒修復材料,所以相對不耐用也不耐磨,且透光性不如全瓷材料,貼片色澤不自然。
全瓷冠顧名思義為全陶瓷打造的假牙牙冠,也是俗稱的牙套、假牙,是一種為了保護自然牙的做法,通常適用於牙齒損傷超過三分之一、蛀牙嚴重、或曾接受過根管治療等情況,尤其根管治療後,牙齒結構會變脆弱,為了避免後續崩壞,就會利用牙冠保護,就像在僅剩的真牙上佩戴安全帽般,所以簡單來說,和貼片最大差異就是,適用於牙齒狀況更差的對象。
|
樹脂貼片 |
陶瓷貼片 |
全瓷冠 |
|
|
圖示 |
光澤不自然 |
光澤自然 |
光澤自然 |
|
修磨位置 |
|
|
|
|
主要材質 |
樹脂,常見填補蛀牙材質之一 |
陶瓷,通常是二氧化鋯或二矽酸鋰 |
陶瓷,通常是二矽酸鋰或二氧化鋯 |
|
優點 |
*價格便宜 |
*顏色光澤都自然 *硬度相近自然牙 *生物相容性高,較不易刺激牙齦 |
*顏色光澤都自然 *硬度相近自然牙 *生物相容性高,較不易刺激牙齦 |
|
缺點 |
*多為暫時性貼片使用 *顏色單一,較不自然 *強度不足,不耐用 *材質粗糙,容易染色 *容易出現密合問題,進而影響牙齒和牙周健康 |
*價格相對較高 |
*價格相對較高 |
陶瓷貼片療程解析
診間常被問到美白牙貼大約要花多久時間,其實療程整體可分成兩到三階段,首先是前置評估階段:包含醫師評估施作顆數範圍、臉型及口內照片拍攝、口腔掃描等資料收集;接著進入微笑設計階段:醫師會利用收集的資料,根據臉型及微笑的唇形進行數位微笑設計(DSD)來設計適合的牙齒外型風格;再來就是牙齒修磨、戴上暫時性貼片,同步印模製作正式貼片;最後階段是正式貼片裝戴、調整細節,再用特殊黏劑將陶瓷貼片貼上。
陶瓷貼片會不會讓牙齒變得很敏感?
瓷牙貼片療程勢必要進行牙齒修磨,但也受惠於製作技術進步,現今的貼片都相當薄,牙齒要修磨的範圍主要集中在外層的琺瑯質,無需深入到牙本質,所以一般來說完成陶瓷貼片療程後,不太會引起明顯的敏感症狀,即使少數出現酸軟等問題,但這些症狀都是暫時性的,會隨著時間而緩解。
可能導致陶瓷貼片後牙齒敏感的原因有幾點,包含牙齒修磨過多、貼片與牙齒不密合、貼片材料或精細度不佳等,容易讓牙本質受到冷熱刺激引發敏感症狀,所以醫師的操作技術、經驗是否豐富就相當重要。
裝陶瓷貼片會痛嗎?
許多人畏懼看牙醫都是因為怕痛,不過考慮進行陶瓷貼片美齒的人請安心,療程本身不會引發痛感,且過程中會使用局部麻醉,讓你在磨牙、黏上貼片時都無感,雖然麻醉退去時,會有輕微不適感,但都還在正常範圍內,等到牙齒、牙齦適應貼片後,不適感自然也會隨之消失。
陶瓷貼片可以取代矯正嗎?
陶瓷貼片能解決輕微的牙齒問題,包含輕微牙縫、牙齒斷裂、稍微地齒列不整齊等。經過醫師評估後,有些狀況的確不需要進行牙齒矯正,陶瓷貼片就能有效地同時解決牙齒排列和顏色、形狀等問題。不過貼片還是無法完全取代牙齒矯正功能,嚴重的齒列不整齊、咬合不正、暴牙等問題,都還是要尋求矯正一途。
市售美白牙貼和陶瓷貼片的差別?
市售的美白貼片主要功能在於改善牙齒顏色,且主打能居家操作,連續使用14天,貼片中的過氧化氫美白成分才能達到效果,不過適用範圍也有限,通常市售美白貼片僅對輕度牙齒變色問題有效,深層染色問題則難以改善,另外也潛藏效果短暫、可能刺激牙齦、造成牙齒敏感等問題,與陶瓷貼片的長期美齒效果差異頗大。
免磨牙貼片是什麼?可靠嗎?
要再次強調,大部分瓷牙貼片療程都需要在安全範圍內修磨牙齒,不需修磨的案例幾乎是少之又少,因為患者必須具備內縮的牙齒牙弓排列,才會加上貼片後反成正常排列,這實屬罕見案例。
而坊間號稱免磨牙貼片,多採用樹脂貼片,雖然費用相對便宜,但也可能付出更多代價,除了顏色不自然、死白外,樹脂材質不耐用、也很容易染色,且不需修磨牙齒,也代表著貼片並未根據個人牙齦與齒型客製化打造,不僅沒達成美觀目標,長期下來還可能因為貼片不貼合,導致蛀牙、牙齦發炎等問題,許多人也因為這樣後悔拆除,重做新的陶瓷牙貼,金錢、健康都得不償失。
陶瓷貼片5大常見問題
Q:陶瓷貼片顏色會很假嗎?
A:陶瓷材質具備良好透光度、耐磨等特性,相對質感、光澤都自然,是坊間牙齒貼片最佳材質。
Q:瓷牙貼片可以用多久?
A:因人而異,但是基本上平均維持10年以上沒問題,如果好好清潔維持,還有機會能用得更久。
Q:陶瓷貼片會失敗嗎?
A:陶瓷貼片成功率超過9成9,是個失敗率低的療程,但的確還是有失敗案例,如果貼片製作不夠細緻、牙齒修磨過頭等,都會造成後續牙齒問題,所以建議挑選經驗豐富、美感佳的醫師,避免失敗風險。
Q:瓷牙貼片術後如何清潔維護?
A:正常清潔,一天至少刷牙、使用牙線兩次,建議患者定期回診讓醫生檢查口腔狀況,有問題才能及時發現處理。
Q:做完陶瓷貼片可以正常進食嗎?
A:完成陶瓷貼片後,基本上正常飲食都沒問題,但會建議避免啃咬硬物,如果能夠戒菸、減少飲用易染色飲品等更好,因為才能有效減少對貼片的傷害。
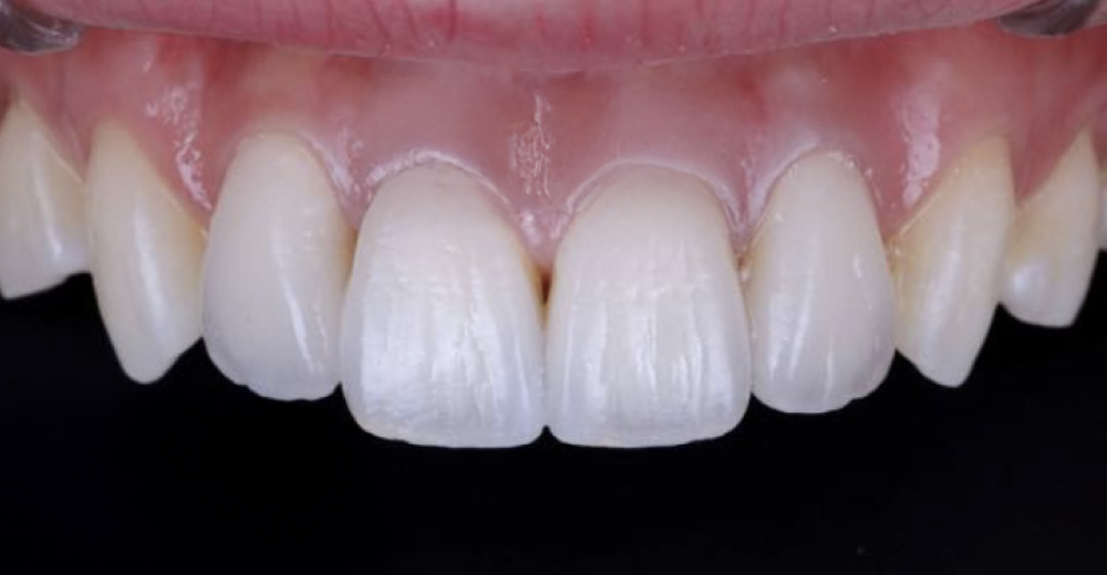
板橋瓷牙貼片案例分享|找回自信笑容
案例一

這位患者的主要困擾有牙齒暗黃、下排有牙縫、笑起來缺乏微笑曲線、牙齒外型大小不均。
經過完整的口腔評估後,陳雅昀醫師建議採用 全瓷美白貼片,以 DSD 數位微笑設計 (Digital Smile Design) 的方式進行客製化微笑曲線設計。
最終我們達到:
✅ 齒色白淨透亮,自然不死白
✅ 不須矯正即可將下排牙縫完全關閉,不再漏風漏財
✅ 牙齒外型比例對稱和諧,微笑曲線更符合脣型
治療過後,不但改善牙齒顏色、外型,對患者來說更開心的是關閉了最在意的牙縫問題,終於能夠自在地展現自信笑容!
案例二

患者原有牙齒牙肉高低不齊、齒色暗黃、齒形不對稱、門牙黑三角等問題,除了透過水雷射牙齦整形調整牙肉高度外,採用 全瓷美白貼片,以 DSD 數位微笑設計 (Digital Smile Design) 的方式進行客製化微笑曲線設計。
最終我們達到:
✅ 牙齒外型對稱和諧
✅ 齒色淨透亮白不死白
✅ 同時關閉黑色三角縫
最令她開心的是,因為陶瓷貼片表面光滑細緻不易染色,自己未來再也不用擔心喝咖啡、紅酒後牙齒被染色,能更自在地展現笑容!
板橋牙齒貼片推薦|陳雅昀醫師
陳雅昀醫師經歷:隱適美矯正認證醫師、台灣隱形矯正學會會員醫師、中華民國植牙矯正學會會員醫師、台灣植牙醫學會(TAO)會員醫師、亞太雷射牙醫學會(APLI)會員醫師等。曾於台北醫學大學附設醫院、以及新光醫院牙科部經過扎臨床訓練,在板橋牙科診所深耕多年後,現在於日煦牙醫診所服務。
陳醫師治療項目包含齒顎矯正、美白牙齒與全瓷貼片修復,因為陳醫師本身也有矯正和美白牙齒的親身經驗,更能夠站在患者的角度理解治療的感受,因此總能在傾聽患者需求後,站在「好朋友」角度分享自己的經歷,一起面對、討論各種矯正、美白牙齒的計畫可能性,為病患量身打造最適合的燦爛笑容。
延伸閱讀:




